
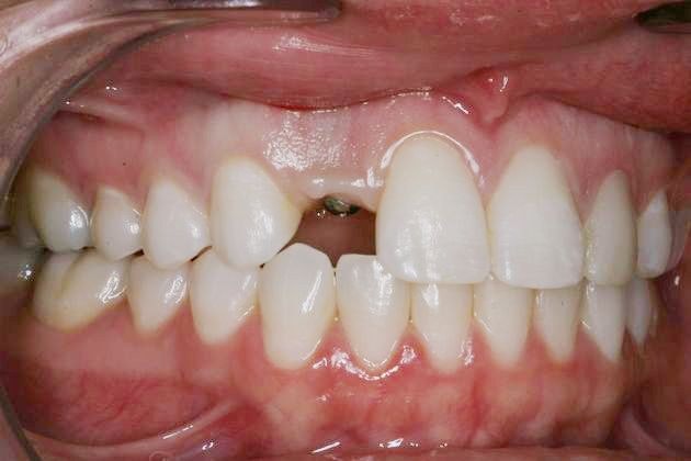
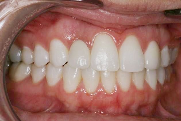
Dental Implants Cost
Dental Implants Offer a Lifetime of Benefits
How Can I Get the Most Accurate Pricing?
Modern dentistry gives dental patients a world of choices when it comes to restoring their smiles. But we understand that costs are an important part of the conversation.
The dentists at Advanced Dental Care in Valdosta, GA, will carefully assess your needs and walk you through the procedure. They will explain the number of implants and abutments you will need, as well as any preparatory treatments.
Accurate Pricing
We can also provide a solid quote for the entire procedure, not just an average cost that may not reflect the cost of your treatment.
If you have questions, feel free to contact us or request a consultation. Whether you need a full-mouth restoration or a single tooth, we're prepared to give you all the information you need so you can feel confident about your decision.

Will Dental Insurance Cover the Cost of Dental Implants?
For many patients, dental implants are the preferred method for replacing natural teeth. Unfortunately, basic dental insurance plans will not help pay for them. However, most insurance plans may cover some costs for the crowns, bridges, and dentures that will be attached to the implants. Our knowledgeable staff can help determine what will be covered by your insurance.
Are You Concerned about Costs?
/
To help our dental patients manage costs, Advanced Dental Care in Valdosta, GA, offers flexible financing through CareCredit® and Cherry Financing. Our implant and cosmetic dentistry patients are happy to discover that dental care is more affordable when the cost can be spread out over several months.
Some patients discover that they qualify for no-interest and low-interest financing. Or, if you prefer to pay up front, Advanced Dental Care offers a five-percent discount on treatments that cost more than $1,000.




