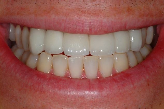
Dental Crowns
When you have a tooth that is damaged or decayed, it should be treated and repaired as soon as possible to avoid serious oral health issues.
At Advanced Dental Care, our doctors provide lifelike crowns that can blend seamlessly with your smile while strengthening your teeth.
If you’ve been told you need a dental crown, or if you suspect you need one, contact either of our locations in Valdosta, GA, today.

What Are Dental Crowns?
A dental crown is a tooth-shaped cap that covers a natural tooth from the gumline up. Crowns are used in both restorative and cosmetic dentistry. They are often used to protect teeth after root canal treatment, but they can also be used to cover stained or misshapen teeth and achieve an aesthetic upgrade.
Crowns are typically recommended if a tooth is significantly damaged, but not necessarily in need of extraction. Preservation of natural tissue is always the priority in dentistry, and a crown is a solution that allows you to keep a compromised tooth that would otherwise be unable to contribute to the balance and function of your bite.
At Advanced Dental Care in Valdosta, GA, we work closely with a local dental lab that produces crowns made of porcelain, gold, or zirconia.
Find Relief Soon at Advanced Dental Care
Like many dental patients, you may be tired of the stress that goes along with a damaged or decayed tooth. However, you won't have to wait much longer for relief at Advanced Dental Care. Before we place your permanent crown, we will craft a temporary crown to cover and protect your tooth from further damage. That way, you can eat, talk, and smile confidently on the same day as your first appointment.
Then, when you return to our dentistry practice, we will have a custom crown made from natural-looking porcelain, gold, or zirconia ready for placement. If you're ready to put yourself — and your oral health — first, contact our Valdosta dentistry practice online or call our location nearest you:
Wildwood Plantation Drive: (229) 242-4441
Greystone Way: (229) 242-0063
Valdosta Patients Trust Advanced Dental Care
I love my dental hygienist Jen and my dentist! Both are so friendly and do a wonderful job! If you’re looking for a great dentist make your appointment you won’t be disappointed I promise! ADC is the best around and if your like me and are very particular about cleanliness you will be completely satisfied with a very nice clean office
View on GoogleI am nearly 70 yo and have had many dentists in many different states over the years. Dr. Woodward is the best of them all! No lie. And his staff are equally exceptional. Highly recommend.
View on GoogleThe Best Dentist in South Georgia Choose Us for Dental Crowns
There's a reason why the dentists of Advanced Dental Care at our Valdosta offices have been voted "Best Dentist in South Georgia" for 14 years in a row. We utilize the latest techniques in modern dentistry and consistently exceed the expectations of our patients.
When it comes to dental crowns, we work with local labs and use advanced scanning technology to produce crowns that fit perfectly and look completely natural. If you have a tooth that requires a crown, or if you have an existing crown that has broken or come off the tooth, our dentists can get your smile back in shape.
You can request a consultation at either of our locations in Valdosta, GA, by contacting us online or calling the office that is most convenient for you.
ADC 1 at Wild Plantation Drive:
(229) 242-4441
ADC 2 at Greystone Way:
(229) 242-0063
"I was very impressed."
Dr Woodward removed an old crown and made a temporary for me today. His assistant, Alexandra, was outstanding. She was kind and engaging. She talked me through everything that was going on and what to expect. Overall it was a 5star visit
View on GoogleGreat dental office. Very professional front office, Dr, and hygienist. I was very impressed with the top of the line technology they use. I’m very pleased with my visit and I would definitely recommend this dental office based on my experience. I have another appointment to get a crown done.
View on GoogleWhat Do Dental Crowns Cost?
At Advanced Dental Care in Valdosta, GA, crowns cost an average of $1,334. A variety of factors can affect the ultimate cost of your dental treatment, such as whether you require a root canal and whether you choose a crown made of porcelain, zirconia, or gold. When you visit us for a consultation, we will provide a quote.
Dental insurance usually contributes to treating teeth with dental crowns. We accept all major dental insurances and we can file claims on your behalf to maximize your coverage. To confirm whether we accept your insurance, contact us today.
For any costs not covered by insurance, we also work with CareCredit® and Cherry Financing to offer flexible financing. With financing, qualifying patients can take advantage of low-interest or no-interest monthly payment plans.
We also offer a courtesy discount on payments paid in full for treatments over $1,000.
Dental Crowns: Step-by-Step
If dental appointments make you nervous, ask us about sedation dentistry.
See How Crowns Are Placed
How to Take Care of Your New Custom Crown
Brush Your Teeth
Good oral hygiene can prevent cavities and further tooth damage. As you brush each morning and night, remember to gently brush your gums and tongue too.
Floss Regularly
Flossing improves your gum health. It will also help ensure that your crown stays free of plaque and tartar build-up.
Wear a Mouthguard
Grinding your teeth in your sleep can cause damage to your teeth or crown, along with headaches and jaw pain. We offer TMJ treatment, like mouthguards, to prevent this problem.Avoid Certain Foods
Hard food, like nuts and toffee, and sticky foods, like gum and caramel, can damage your crown or pull it out of place completely. Try to avoid these foods if possible or bite into and chew them with teeth that haven't been treated with crowns.
Attend Dental Checkups
After we place your crown, we encourage you to come back for regular cleanings so that your smile stays healthy and beautiful. We will also let you know when it's time to replace your crown.
Implant-Supported Crowns
In addition to traditional dental crowns, we also offer implant-supported crowns at our offices in Valdosta, GA. Implant-supported crowns are prosthetic teeth that attach to dental implants, filling the gaps in your smile after tooth loss.
Replacing a tooth with a dental implant and implant-supported crown is a longer process than most other dental treatments, but it's worth the investment because implants fuse with the jawbone and replace lost tooth roots. This means that implant-supported restorations provide unbeatable stability while providing the stimulation needed to maintain a strong jawbone.
If you have any questions about implant dentistry, we invite you to request a consultation with our dentists today.

Single crowns are the most common restorative procedure with 2.3 million implant-supported crowns made each year. According to the American College of Prosthodontists
"Best dental care around!"
Very kind and courteous staff- everyone smiling and so welcoming! I am very impressed with Dr Hancock- as she was not only kind-easy to talk to, but very informative!
View on GoogleBest dental care around! Dr. Gray and his team are all so kind and really do care. So thankful to have found this group!!
View on Google







